【矯正歯科】 |
| 小児その5:他の歯科医院で大人の歯を4本抜くと言われた矯正の場合(八重歯) 10才,女性 |
| * |
この症例は他の歯科医院で大人の歯を4本抜かないと矯正ができないと言われたそうです。
私の元にセカンドオピニオン(より良い決定をするために,もう一人の人から聴取する意見のこと)で
来院されました。
拝見したところ,大人の歯を抜かなくても矯正できると診断しました。
患者様は私の歯科医院での矯正治療を希望しました。 |
|
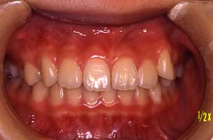
正面 | 矯正前 |
| 120日目 |
| 矯正後(約一年半後) |
右上3番目の歯が八重歯になっています | | |  | | |
|
上顎
(ミラー像) | | |  | | |
|
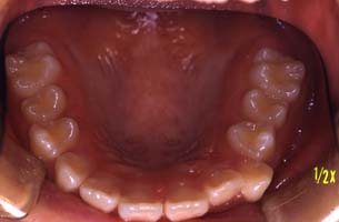
下顎
(ミラー像) | | | | | |
| 〜お母さんからのお礼のお手紙〜 |
町の幼児検診にてたびたび歯並びの悪さと,反対咬合を指摘されていました。
平成9年,小児歯科より市内の矯正歯科を紹介してしただき受診し,時期を見て矯正したほうが良いとすすめられ,以後定期的に検査・経過をみながら治療を受けていました。
通院6年目,永久歯がほぼ生え終わった段階で歯列や反対咬合もだいたい良くなり,第一段階の治療の終了を告げられました。しかし左上の犬歯が歯肉上方から上唇にひっかかるように生えてきてしまったため,第二段階〔大人の歯〕の治療を開始するかどうかを考えるようにドクターに言われ,一応次の治療に進むことをお願いしました。
検査の結果(コンピューターでの計測?),犬歯を下げて入れるスペースをつくるため,他の永久歯を抜歯してくるよう説明を受けました。矯正専門医なので,抜歯は地元の歯科医院でとの事で紹介状を持参し,歯科医院を受診しました。
”虫歯でもない永久歯を見かけの歯列の美しさのみのために抜歯してしまっていいのか? 子どもの健康上問題ないのか? 痛い想いをさせるのはかわいそうだし・・・” また,”6年間も通院している中で,あらかじめ犬歯が異常な位置から生えてくる事は予測できなかったのだろうか?”など素人ながらの疑問や不信感もあり,定岡先生に相談しましたところ,”永久歯を抜歯しなくても犬歯を入れるスペースがつくれそうだ。噛み合わせも大丈夫であろう”との助言をいただきましたので,そこの矯正歯科での第二段階の治療をお断りし,さだおか歯科医院にて次の治療をお願いすることとしました。
平成15年から現在までで定岡先生の治療により無事犬歯も中に入り,とても綺麗な歯並びとなり,正直驚きました。
私どもはたまたま良きアドバイスをいただける場があったために幸運でしたが,”この方法しかない!”という選択の余地が無ければそれに従うしか無かったわけです。この度のことで,矯正といってもいろいろと判断も方法も違うものだということを感じました。そして患者に適した治療法(矯正の種類,方法など)を,もっと広い情報の中から選択し,ご相談できる機会を与えていただけるとよりありがたいのかな,と思うとともに,定岡先生には大変感謝いたしております。ありがとうございました。 |
 | 【院長から一言】 |
矯正専門で大人の歯を4本も抜歯しないと歯並びが治らないと言われた時は,相当ショックだったと思います。
その後で歯を4本も抜かないで歯並びが治ると言われた時も半信半疑のことだったと思います。
矯正治療を始めて約3ヶ月後に歯並びがよくなってきたのを見て,安心されていた様でした。
治療後,このお子様はもとよりお母様にも大変感謝され,私共も大変嬉しかったケースでした。
本当に大人の歯を4本も抜かなくてよかったと思いました! |
|