【歯科一般】
(6)歯石除去
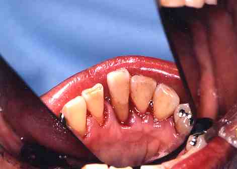
1.歯の裏側に歯石が
  いっぱいついています。
2.歯石をとりました。
  歯ぐきが下がって根が
  見えています。
  支えている骨もなくなって
  歯が出てきています。
  これが歯周病(歯そうのうろう)
  です。
  (*このようにならないように3〜6ヶ月
     に一度は歯石をとりましょう)