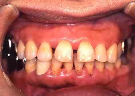
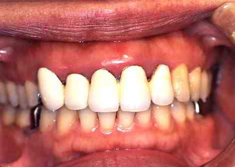
【歯周病(歯そうのうろう)の治療(1)】

1.術前
  上の歯のまわりの歯ぐきが
  はれていて血が出やすい
  状態です。
2.21日目
  歯ぐきのはれもなく
  血も出なくなりました。


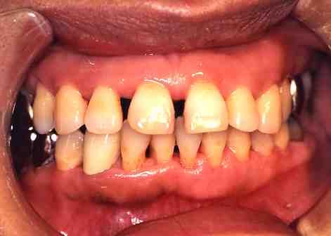
【歯周病(歯そうのうろう)の治療(2)】

1.術前
  下の歯のまわりの歯ぐきが
  はれていています。
2.21日目
  だいぶ歯ぐきのはれが
  ひきました。
3.62日目
  ほとんど歯ぐきのはれは
  おさまりました。