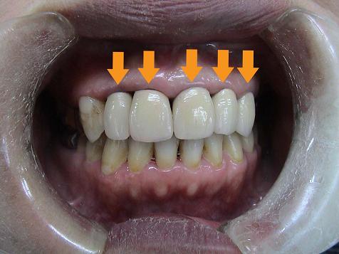
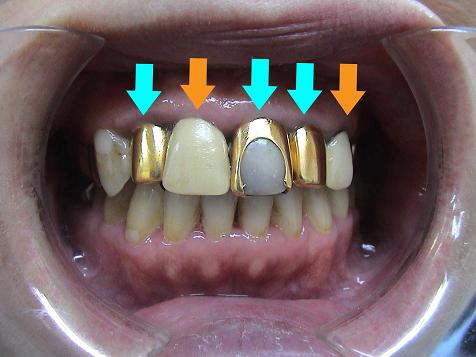
【症例 1】メタルボンド (前歯5本)
1.
印は白いプラスチックの冠(保険)
印は金属が入っていて見栄えが悪いです







2. 上の前歯5本にせとの歯(メタルボンド)が入りました
見栄えが大変良くなり大きな口で笑って話せるようになりました