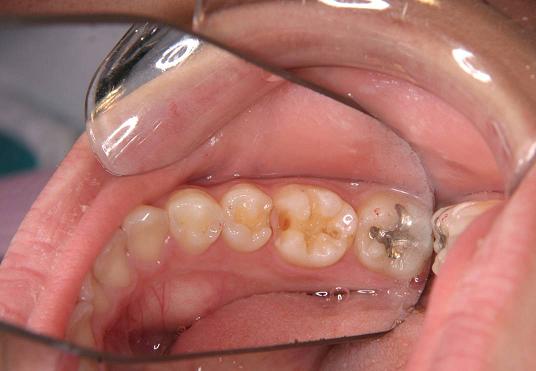
【症例 1】左下5・6番(一部分)2本 (18才,女性)
1.
奥歯の歯の間が2本虫歯で
歯を削った後です
(ミラー像)



2.グラディア2本をつけました