【歯科一般】
(1)虫歯の治療(その1)
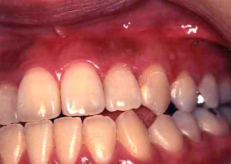
1.一見、虫歯はないように
  見えますが...
2.歯と歯の間はこんなにも
  虫くっていました。
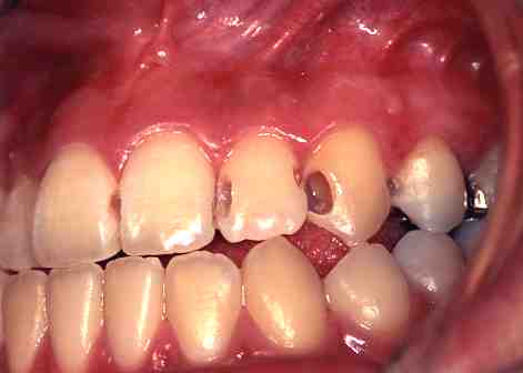
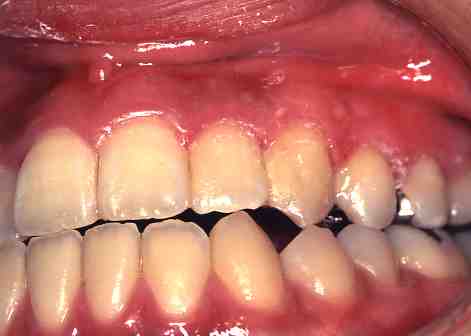
3.虫歯のところを取り除き
  白いプラスチックを
  つめました。
  (*歯と歯の間は、歯ブラシではよごれが
     とれません。糸ようじと歯間ブラシを
     毎食後、使うようにしましょう)