【矯正歯科】
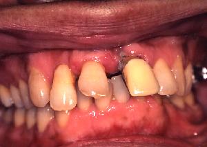
成人その2:前方傾斜 58才,男性
上の前歯が出てきて人前で笑えないということで来院されました。
歯周病も進行しており,歯の動揺もありました。
まず歯周病の治療を行って,歯ぐきの改善をしてから矯正治療を始めました。
矯正前

正面
矯正後
(612日目)
正面
上顎
(ミラー像)
上顎
(ミラー像)
下顎
(ミラー像)
下顎
(ミラー像)
右側面
右側面

矯正治療後は,前歯を抜かないとダメとおもっていたようで,前へ出ていた歯も抜かないで
元の位置に戻って歯並びもよくなり,人前で自信を持ってお話ができるようになりました。
また,大きな口で笑うこともできて,人前にも活発に出られる楽しみが増えたようです。