【矯正歯科】
成人その1:離開 47才,女性
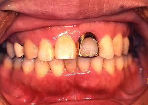
上の前歯にすき間ができてきて,空気がもれて話しずらく聞きとられにくいということで来院されました。
そうですよね,前歯にすき間が開いていると大きな口で笑うことも恥ずかしいですよね。
歯周病も進行しており,歯の動揺もありました。
まず歯周病の治療を行って歯ぐきの改善を行ってから矯正治療を始めました。
矯正前

正面
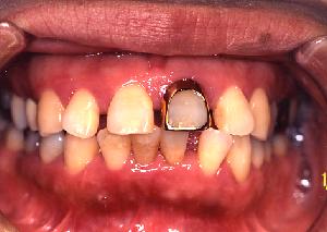
矯正後
(356日目)
正面
上顎
(ミラー像)
上顎
(ミラー像)
下顎
(ミラー像)
下顎
(ミラー像)

矯正治療後は前歯のすき間もなくなり,しゃべりやすく発音もよくなり聞きとりやすくなりました。
また大きなお口で笑うこともできて人前でおしゃべりすることも楽しくなったとのことです。