【歯科用レーザーによる治療】
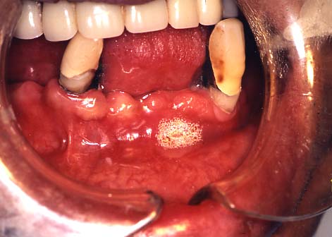
(3)口内炎
1.白く口内炎が出来ています。
  さわると痛く,食べるとしみます。
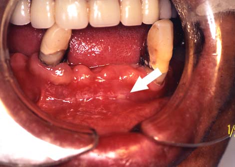
2.CO2レーザーを照射しています。
3.レーザー照射後
  白濁となり,さわっても痛くなく
  食べてもしみません。