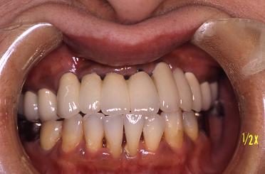
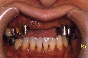
【症例 3】上前歯4本欠損 (49才,女性)
全て鏡に映っています。
術前
上前歯4本の歯がないです

インプラントを4本植めました
(術直後)

冠が入りました