(2)反対咬合,低位咬合

矯正前


矯正後
正面
@上の左右の2番目の歯が反対咬合
 (中に入っている) 
A右上の犬歯(3番目の歯)が
 頬より出てきました。
B左上4番目の歯が頬より出て
 きました。

(455日目)
正面
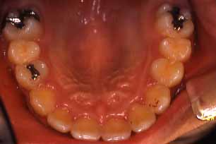
上顎
(ミラー像)
上顎
(ミラー像)
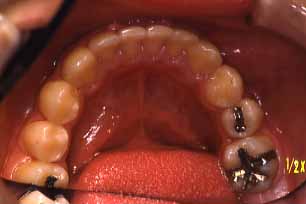
下顎
(ミラー像)
C右下4番目の歯がひっかか
 っている。
D右下2番目の歯が外へ出て
 いる。
下顎
(ミラー像)