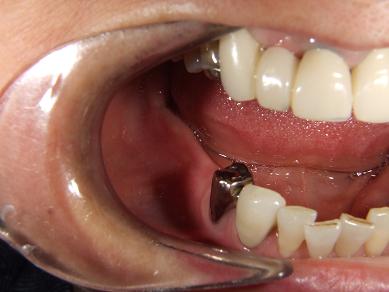
【症例 6】3歯欠損 (64才,女性)
1.
入れ歯が入っている状態



2.
バネなし入れ歯



3.
バネなし入れ歯を入れた
状態です!!