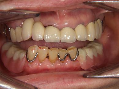
【症例 5】11歯欠損 (68才,男性)
1.
バネあり入れ歯が
入っている状態



2.
入れ歯を外した状態



3.
バネなし入れ歯を入れた
状態です!!