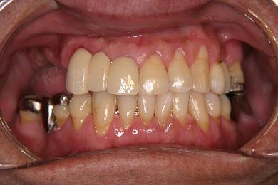
【症例 3】5歯欠損 (55才,男性)


正面上(ミラー像)
1.
術前のお口の状態です



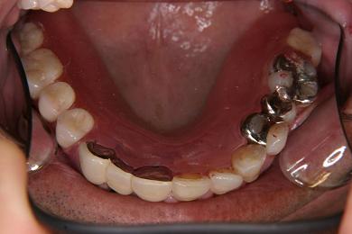
2. 作製したバネなし入れ歯
(バルプラスト)です




3.
バネなし入れ歯を入れた
状態です!!


* 金属のバネがないので
見栄えが良いです!

入れ歯が入っているとは
気がつかれにくいです!!