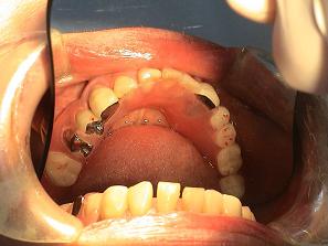
【症例 2】 11歯欠損 (51才,女性)
5歯欠損


正面上(ミラー像)下(ミラー像)
1.
術前のお口の状態です





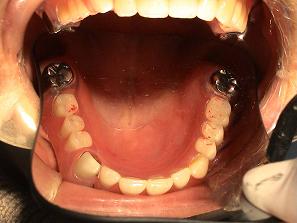
2. 作製したバネなし入れ歯
(バルプラスト)です





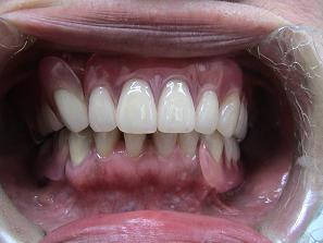
3.
バネなし入れ歯を入れた
状態です!!








* 金属のバネがないので
見栄えが良いです!

入れ歯が入っているとは
気がつかれにくいです!!