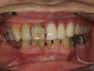
【症例 1】 9歯欠損 (68才,女性)
4歯欠損
1.
バネあり入れ歯が
入った状態です!
バネの金属が目立ちます!



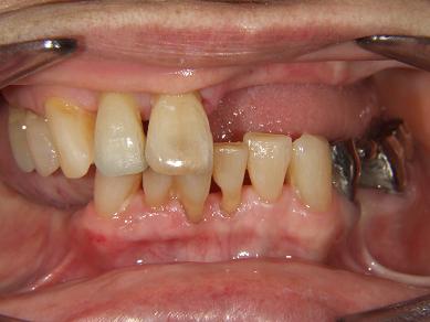
2.入れ歯を外した状態です



3. 作製したバネなし入れ歯
(バルプラスト)です




4.
バネなし入れ歯を入れた
状態です!!
* 金属のバネがないので
見栄えが良いです!

入れ歯が入っているとは
気がつかれにくいです!!